yonsei Luminous dental clinic
정확한 진단으로
정확한 진단으로
차이를 만듭니다
결과로 신뢰를 이어가는
연세루미너스치과
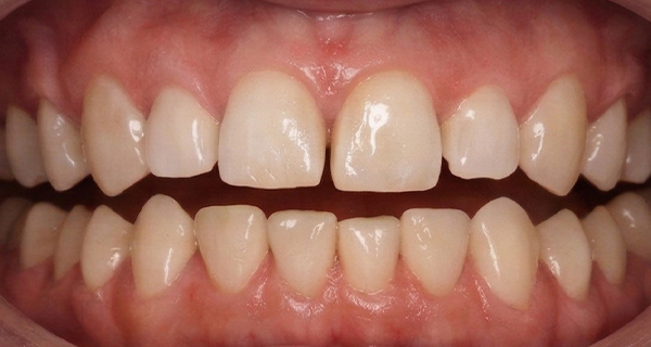
첨단 진단 장비와 체계적인 분석을 통해
구강 상태를 세밀하게 파악합니다.
불필요한 치료를 줄이고, 꼭 필요한 치료만 계획합니다.
yonsei Luminous dental clinic
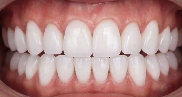
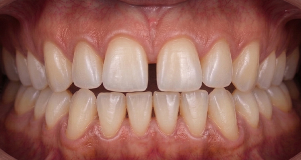
자연스럽고
자연스럽고
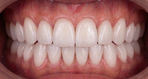
완성도 높은 미소를 위해
기능과 심미를
함께 설계합니다
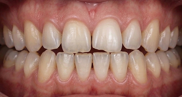
치아의 기능적 안정성과 심미적 조화를 동시에 고려합니다.
개인별 얼굴 균형과 치열에 맞춘 맞춤 치료를 진행합니다.
yonsei Luminous dental clinic
과잉 없이
과잉 없이
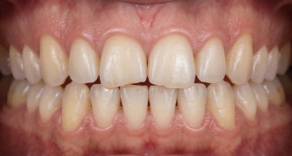
필요한 치료만 제공합니다
정직한 진료 원칙을
지키며 진료합니다
충분한 상담과 정확한 설명을 통해 치료 방향을 안내합니다.
환자가 안심하고 선택할 수 있는 진료 환경을 만듭니다.















02.565.7528
서울시 강남구 강남대로 338, 2층